Request Appointment
Call Today:
(502) 908-4060
Our Location:
4230 North Preston Hwy
Shepherdsville
,
KY
40165
New Patients:
(502) 908-4060
Existing Patients:
(502) 955-6516
Our Office
4230 North Preston Hwy
Shepherdsville
,
KY
40165
New Patients:
(502) 908-4060
Existing Patients:
(502) 955-6516
Visit Us Online
Home
About Us
Our Team
Our Office
New Patients
Smile Gallery
Reviews
Social
Dental Videos
Smile Saver
Our Doctor
Services
Dental Cleanings
Dental Sealants
Emergency Treatment
Extractions
Fluoride Treatment
Oral Cancer Screening
Oral Exams
Pediatric Dentistry
Periodontal Treatment
Preventative Program
Root Canals
Sports Mouthguards
TMJ Disorders
Dental Bridges
Dental Fillings
Dentures
Implant Dentistry
Ceramic Crowns
Cosmetic Dentistry
Teeth Whitening
Veneers
Digital Radiography
Laser Dentistry
Dental Health
Contact Us
Request Appointment
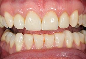
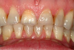
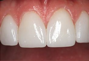
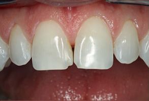
Dentistry Before and After Photos
Before
After
Before
After
Before
After
Before
After
Before
After
Before
After
Before
After
Our Office
4230 North Preston Hwy
Shepherdsville
,
KY
40165
New Patients:
(502) 908-4060
Existing Patients:
(502) 955-6516
Visit Us Online
4230 North Preston Hwy
Shepherdsville
,
KY
40165
New Patients:
(502) 908-4060
Existing Patients:
(502) 955-6516
© 2026 Bullitt Dental, PLLC. All Rights Reserved. |
Accessibility Policy
Dentist Website Design